Über 3000 Zubehörartikel
Persönliche Beratung
tiefgreifende Erkenntnisse
Mikroskopie Bedarf > Dauerpräparate > Biologie-Sortimente > Levenhuk > Levenhuk Dauerpräparate N20 NG
Artikel-Nr.: 91035

Dauerpräparate N20 NG

$ 31,90 inkl. MwSt zzgl. Versandkosten
kurzfristig
versandfertig in 1-2 Wochen + Laufzeit
  • 20 Proben
  • 24 leere Objektträger
  • 40 Deckgläser

Artikelbeschreibung

Proben von Pflanzen und anderem Material müssen vor dem Mikroskopieren aufwendig vorbereitet werden: Ein sehr dünner Schnitt des Materials muss auf einem Objektträger platziert und mit einem Deckglas abgedeckt werden. Dieses Objektträger-Set enthält vollständig vorbereitete Proben von Biomaterial – so steht mehr Zeit für die Beobachtung zur Verfügung. Das Set enthält außerdem zusätzliche leere Objektträger und Deckgläser für komfortable Beobachtungen eigener Proben ohne Spiegelungen und Verzerrungen. Die Objektträger können mit jedem Mikroskop benutzt werden.

Das Levenhuk N20 NG Objektträger-Set mit vorbereiteten Proben enthält:

  • Drosophila (Larve)
  • Drosophila (Puppe)
  • Taufliege („Normalgene“)
  • Tierische Zelle
  • Pflanzliche Zelle
  • Schimmelpilz
  • Furchung der Eizelle
  • Mitose bei der Zwiebelwurzel
  • Quergestreifte Muskeln
  • Spermatozoen eines Säugetieres
  • Nerv (Querschnitt)
  • Lockeres Bindegewebe
  • Eizelle eines Säugetieres
  • Nervenzellen
  • Hyaliner Knorpel
  • Glatte Muskeln
  • Knochengewebe
  • Froschblut
  • Menschliches Blut
  • Einschichtiges Epithel

Außerdem im Lieferumfang enthalten: 24 leeren Objektträger und 40 Deckgläser.

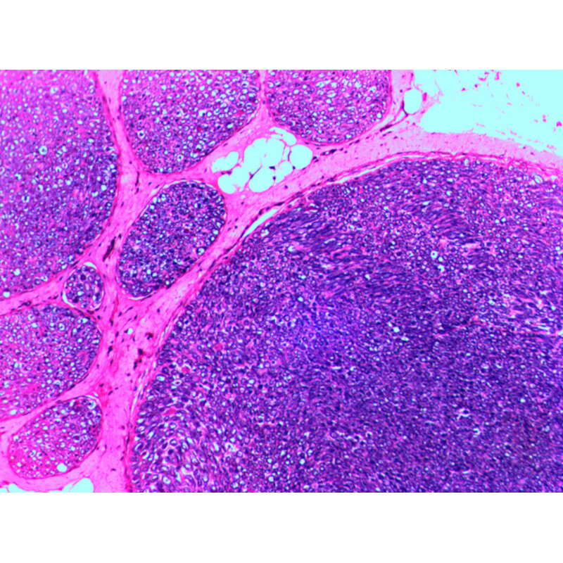
In der Produktgalerie finden Sie Beispiele für das, was Sie bei der Beobachtung dieser Objektträger unter einem Mikroskop sehen können.

Technische Daten

Leistung


Typ
Dauerpräparate
Anzahl (Stück)
20

Produktsicherheit

Hersteller: Levenhuk Optics s.r.o., V Chotejne 700/7, 102 00 Prag, CZ, www.levenhuk.com
Levenhuk Dauerpräparate N20 NG
Levenhuk Dauerpräparate N20 NG
Levenhuk Dauerpräparate N20 NG
Levenhuk Dauerpräparate N20 NG
Levenhuk Dauerpräparate N20 NG
Levenhuk Dauerpräparate N20 NG
Levenhuk Dauerpräparate N20 NG
Levenhuk Dauerpräparate N20 NG

Kundenmeinungen

Es gibt noch keine Kundenrezension für dieses Produkt.

Schreiben Sie Ihre eigene Rezension

Haben Sie spezifische Fragen zu Ihrer Bestellung oder Ihrem Produkt? Bitte wenden Sie sich hierzu an unseren Kundenservice!