Oltre 3000 articoli accessori
Supporto personale
intuizioni profonde
Microscopi > Microscopi invertiti > Evident Olympus > CKX53 > Evident Olympus Microscopio invertito CKX53, trinoculare, 100x, 200x, 400x, IPC/IVC tavolino x/y
Prodotto n.: 49704

Microscopio invertito CKX53, trinoculare, 100x, 200x, 400x, IPC/IVC tavolino x/y

$ 10.700,00 IVA incl. più spese di spedizione
troppo caro?
a breve termine
spedibile in 3-5 settimane + Tempo di trasporto

Nessuna consegna possibile prima di Natale.
Mostra alternative


Descrizione prodotto

Per saperne di più sulla serie CKX53...

Olympus CKX53 IPC/IVC (E07MIS0043)

Stativo manuale per microscopio inverso con campo visivo 22 e tubo trinoculare integrato a 45°

  • Revolver portaobiettivi a 4 posizioni
  • Ampio tavolino (200 mm x 252 mm)
  • Piastra di espansione del tavolino
  • Condensatore rimovibile/girevole
  • lunga distanza di lavoro (NA 0,3, WD 72 mm, diaframma di apertura manuale), max. WD 194 mm (condensatore rimosso)
  • Messa a fuoco grossolana e fine coassiale
  • alloggiamento lampada LED (durata 20.000 ore)
  • Pannello da tavolo in acrilico trasparente
  • Guida x,y con supporto campioni universale per capsule di Petri, vetrini, piastre Terasaki (X: ~96 mm, Y: ~57 mm) e piccole bottiglie per colture cellulari (X: ~150,7 mm (con tappo) Y: ~88,6 mm)
  • Cursore per contrasto di fase (CKX3-SLP)
  • Diaframma ad anello per contrasto di inversione (IVC)
  • Adatto con obiettivi CACHN10xIPC/0,25

Caratteristiche principali:

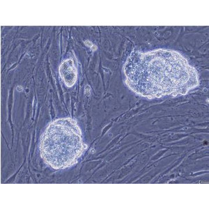
Contrasto di fase integrato (IPC)

Osservazione cellulare rapida ed efficiente con il sistema di contrasto di fase integrato (iPC).

L'elevato contrasto del sistema iPC del CKX53 consente una visione chiara delle cellule a 4x, 10x, 20x e 40x senza che l'utente debba sostituire o ricentrare l'anello. Il nuovo sistema di contrasto di fase consente un'osservazione semplice ed efficiente delle cellule per un flusso di lavoro più rapido e confortevole.

Contrasto inverso (IVC)

Scoprite le immagini 3D con la tecnica del contrasto di inversione (IVC).

Con questa tecnica IVC di nuova concezione, la profondità di campo è inferiore rispetto al contrasto di fase, consentendo immagini tridimensionali nitide di oggetti di qualsiasi forma o trasparenza. Inoltre, l'osservazione IVC offre immagini chiare senza aloni o ombre direzionali, preservando l'integrità dei dettagli dell'oggetto durante l'osservazione. Per questa nuova osservazione IVC vengono utilizzati obiettivi 10X (PLCN10X, CACHN10XIPC).

Componenti inclusi:

  1. Stativo per microscopio CKX53SF-1-3 (N5731900)
  2. Obiettivo acromatico a contrasto di fase 10x CACHN10xIPC-1-7 (N5739800)
  3. Obiettivo acromatico a contrasto di fase 20x LCACHN20xIPC (N5229300)
  4. Obiettivo acromatico a contrasto di fase 40x LCACHN40xIPC (N5229400)
  5. Inserto condensatore manuale CKX3-SLP (N5228500)
  6. Diaframma ad anello per IVC CKX3-SLPIC (N5228600)
  7. Guida per oggetti x/y CKX3-MVR (N5228300)
  8. Portacampioni per piastre Petri CKX3-HOU (N5229000)
  9. Piastra di espansione del tavolo CK2-SS (N030362)
  10. Cavi di alimentazione UYCP (035425)
  11. Coperchio antipolvere per CKX53/41/31 (N1153000)

Specifiche

Ottica


Scala di rappresentazione
10x 20x, 40x
Numero di obiettivo
3
Iluminazione
Luce trasmessa
Curvatura di campo
Piano
Correttore colore
apocromatico
Condensatore
girevole
Tipo di pila
LED (4 W)
Obiettiva 1
CACHN10xIPC
Obiettivo 2
LCACHN20xIPC
Obiettivo 3
LCACHN40xIPC
Correzione all'infinito
si
Ingrandimento
100x, 200x, 400x

Prestazioni


Tipo di pila
LED
Temperatura di colore (K)
4000
DIC, IVC, RC
si
Contrasto di fase
si (Obiettivi IPC (contrasto di fase integrato))
Campo chiaro
si
Metodi di contrasto
DIC

Meccanica


Tecnica di fabbricazione
Trinoculare
Visione (°)
Visione diagonale 45°
Messa a fuoco
Movimenti ampi e micrometrici
Tavolino portaoggetti
Tavolo a croce (252 x 200 mm (180 x 70 mm))
Revolver
4

Particolarità


Diaframma di campo
si
Oculare grandangolo
si (10x/22mm grandangolo)

Generale


Larghezza (mm)
200
Lunghezza (mm)
498
Altezza (mm)
454
Serie
CKX53
Peso (g)
6,9

Campi di aplicatione


Medicina
si
Biologia
si
Didattica
si

Campi di utilizzo


Biochimica
si
Università
si

Varie


Codice prodotto del fornitore
E0460043 (E07MIS0043)

Sicurezza del prodotto

Produttore: Evident Europe GmbH, Caffamacherreihe 8–10, 20355 Hamburg, DE, https://www.evidentscientific.com/

Accessori raccomandati

Accessori Microscopia > Obiettivi (6)

Evident Olympus Obiettivo PLN2X/0,06 planacromatico

$ 1.120,00*
Accessori Microscopia > Varie (8)

Evident Olympus CKX3-SLP Slitta condensatore per CKX53

$ 162,00*
Accessori Microscopia > Altro (4)
no image

Evident Olympus Protezione antipolvere per CKX

$ 53,00*
Necessità della microscopia (1)

Bresser Olio da immersione 5ml nD=1.515

$ 18,90*
Prezzo base: $ 3.780,00/L

*Tutti i prezzi includono IVA e costi di spedizione.

Evident Olympus Microscopio invertito CKX53, trinoculare, 100x, 200x, 400x, IPC/IVC tavolino x/y

Osservazione cellulare rapida ed efficiente con il sistema di contrasto di fase integrato (IPC)

Evident Olympus Microscopio invertito CKX53, trinoculare, 100x, 200x, 400x, IPC/IVC tavolino x/y
Contrasto di inversione (IVC)
Evident Olympus Microscopio invertito CKX53, trinoculare, 100x, 200x, 400x, IPC/IVC tavolino x/y
PH: Riferimento: Y. Suzuki et al., Metodo per l'osservazione di oggetti in fase senza aloni o ombre direzionali.
Evident Olympus Microscopio invertito CKX53, trinoculare, 100x, 200x, 400x, IPC/IVC tavolino x/y
Facile utilizzo di contenitori per colture cellulari di qualsiasi tipo

Recensioni clienti

Non ci sono ancora recensioni per questo prodotto.

Scrivi la tua recensione:

Avete domande specifiche sul vostro ordine o sui prodotti? Contattate il nostro servizio clienti!