Plus de 3000 accessoires
Soutien personnel
idées profondes
Microscopes > Microscopes inversés > Evident Olympus > CKX53 > Microscope inversé Evident Olympus Olympus CKX53 IPC/IVC V1, PH, trino, infinity, achro, 10x, 20x, 40x, LED
N° d'article : 49703

Microscope inversé Olympus CKX53 IPC/IVC V1, PH, trino, infinity, achro, 10x, 20x, 40x, LED

8.600,00 $ TVA incluse plus frais d'expédition
Trop cher ?
à court terme
expédié sous 3-5 semaines + durée de transport

Pas de livraison possible avant Noël.
Afficher les alternatives ou veuillez commander un bon !


Description du produit

En savoir plus sur la série CKX53...

CKX53 Contraste de phases V1 (E07MIS0042)

Statif de microscope inversé manuel avec champ de vision 22 et tube trinoculaire 45° intégré

  • Tour à objectifs quadruple
  • Grande platine (200 mm x 252 mm)
  • Plaque d'extension de table
  • Condenseur amovible/rotatif
  • Longue distance de travail (NA 0,3, WD 72 mm, diaphragme d'ouverture manuel), WD max. 194 mm (condenseur retiré)
  • Mécanisme de réglage grossier et fin coaxial
  • Lampe LED (durée de vie de 20 000 heures)
  • plaque de table en acrylique transparent
  • Coulisseau de contraste de phase (CKX3-SLP)
  • Diaphragme annulaire pour contraste d'inversion (IVC)
  • Compatible avec les objectifs CACHN10xIPC/0,25

Points forts :

Contraste de phases intégré (IPC)

Observation rapide et efficace des cellules grâce au système de contraste de phase intégré (iPC).

Le contraste élevé du système iPC du CKX53 offre une vision claire des cellules à 4x, 10x, 20x et 40x sans que l'utilisateur ait à remplacer ou recentrer l'anneau. Le nouveau système de contraste de phase permet une observation simple et efficace des cellules pour un flux de travail plus rapide et plus confortable.

Contraste d'inversion (IVC)

Découvrez des vues en 3D grâce à la technique de contraste d'inversion (IVC).

Avec cette nouvelle technique IVC, la profondeur de champ est plus faible qu'avec le contraste de phases, ce qui permet d'obtenir des images tridimensionnelles claires d'objets de toute forme ou transparence. De plus, l'observation IVC offre des vues claires sans halos ni ombres directionnelles, préservant ainsi l'intégrité des détails de l'objet pendant l'observation. Des objectifs 10X (PLCN10X, CACHN10XIPC) sont utilisés pour cette nouvelle observation IVC.

Composantes incluses :

  1. Statif de microscope CKX53SF-1-3 (N5731900)
  2. Objectif achromatique à contraste de phase CACHN10xIPC-1-7 (N5731900)
  3. Objectif achromatique à contraste de phases LCACHN20xIPC (N5229300)
  4. Objectif achromatique à contraste de phases LCACHN40xIPC (N5229400)
  5. Insert de condenseur manuel CKX3-SLP (N5228500)
  6. Diaphragme annulaire CKX3-SLPIC (N5228600)
  7. 2 plaques d'extension de table CK2-SS (030362)
  8. Câbles d'alimentation UYCP (035425)
  9. Housse de protection pour CKX53/41/31 (N1153000)

Spécifications

Optique


Echelle de l´image
10x 20x, 40x
Nombre de objectives
3
Éclairage
Lumière transmise
Courbure de champ
Plan
Correction des couleurs
apochromatique
Condenseur
rotatif
Type de lampe
LED (4 W)
Objectif 1
CACHN10xIPC
Objectif 2
LCACHN20xIPC
Objetif 3
LCACHN40xIPC
corrigé à l'infini
oui
Grossissement
100x, 200x, 400x

Capacité


Type de lampe
LED
Température de couleur (K)
4000
Contrast de phases
oui (Objectifs IPC (contraste de phases intégré))
DIC, IVC, RC
oui
fond clair
oui
Procédé de contraste
DIC

Système mécanique


Type de construction
Trinoculaire
Posture d'observation (°)
vision à 45°
Mise au point
Mouvement rapide / fin
Platine porte-objet
Platine porte-objet (252 x 200 mm (180 x 70 mm))
Revolver
4

Particularités


Diaphragme de champ lumineux
oui
Oculaire grand champ
oui (10x/22mm grand angle)

Données générales


Largeur (mm)
200
Longueur (mm)
498
Hauteur (mm)
454
Série
CKX53
Poids (g)
6,9

Domaine d'expertise


Médecine
oui
Enseignements
oui

Domaine d´emploi


Université
oui

Divers


Référence fournisseur
E0460042 (E07MIS0042)

Sécurité des produits

Fabricant: Evident Europe GmbH, Caffamacherreihe 8–10, 20355 Hamburg, DE, https://www.evidentscientific.com/

Accessoires recommandés

Accessoires de microscopie > Objectifs (6)

Evident Olympus Objectif PLN2X/0,06, plan, achromat

1.120,00 $*
Accessoires de microscopie > Divers (8)

Evident Olympus Iroir de condenseur CKX3-SLP pour CKX53

162,00 $*
Accessoires de microscopie > Autre (4)
no image

Evident Olympus housse pour CKX

53,00 $*
Fournitures de microscopie (1)

Bresser Huile d'immersion 5ml indice de réfraction nD=1,515

18,90 $*
Prix de base: 3.780,00 $/L

*Les prix s'entendent TVA comprise, frais d'expédition en plus.

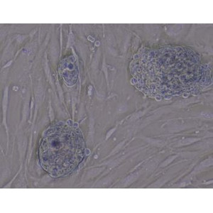
Microscope inversé Evident Olympus Olympus CKX53 IPC/IVC V1, PH, trino, infinity, achro, 10x, 20x, 40x, LED

Observation rapide et efficace des cellules grâce au système de contraste de phase intégré (IPC)

Microscope inversé Evident Olympus Olympus CKX53 IPC/IVC V1, PH, trino, infinity, achro, 10x, 20x, 40x, LED
Contraste d'inversion (IVC)
Microscope inversé Evident Olympus Olympus CKX53 IPC/IVC V1, PH, trino, infinity, achro, 10x, 20x, 40x, LED
PH : Référence : Y. Suzuki et al., Méthode d'observation d'objets en phase sans halos ni ombres directionnelles.
Microscope inversé Evident Olympus Olympus CKX53 IPC/IVC V1, PH, trino, infinity, achro, 10x, 20x, 40x, LED
Manipulation aisée de tous types de récipients pour culture cellulaire

Avis clients

Il n'y a pas encore d'avis clients sur cet article.

Formulez votre propre avis :

Vous avez des questions spécifiques concernant votre commande ou votre produit? Veuillez, SVP, prendre contact avec notre service après-vente (SAV).